Beschreibung
Unsere Tierschützer berichten: Paloma wurde in einem Gebüsch gefunden – entkräftet, abgemagert und mit gelähmten Hinterläufen (siehe Video). Die Podenca-Mix-Hündin konnte ihre Hinterbeine nur noch hinter sich herziehen. Alles deutete darauf hin, dass sie vermutlich einen Autounfall erlitten hatte. Als die Tierschützer sie entdeckten, konnte sie jedoch mit der Rute wedeln – ein kleines Zeichen der Hoffnung!
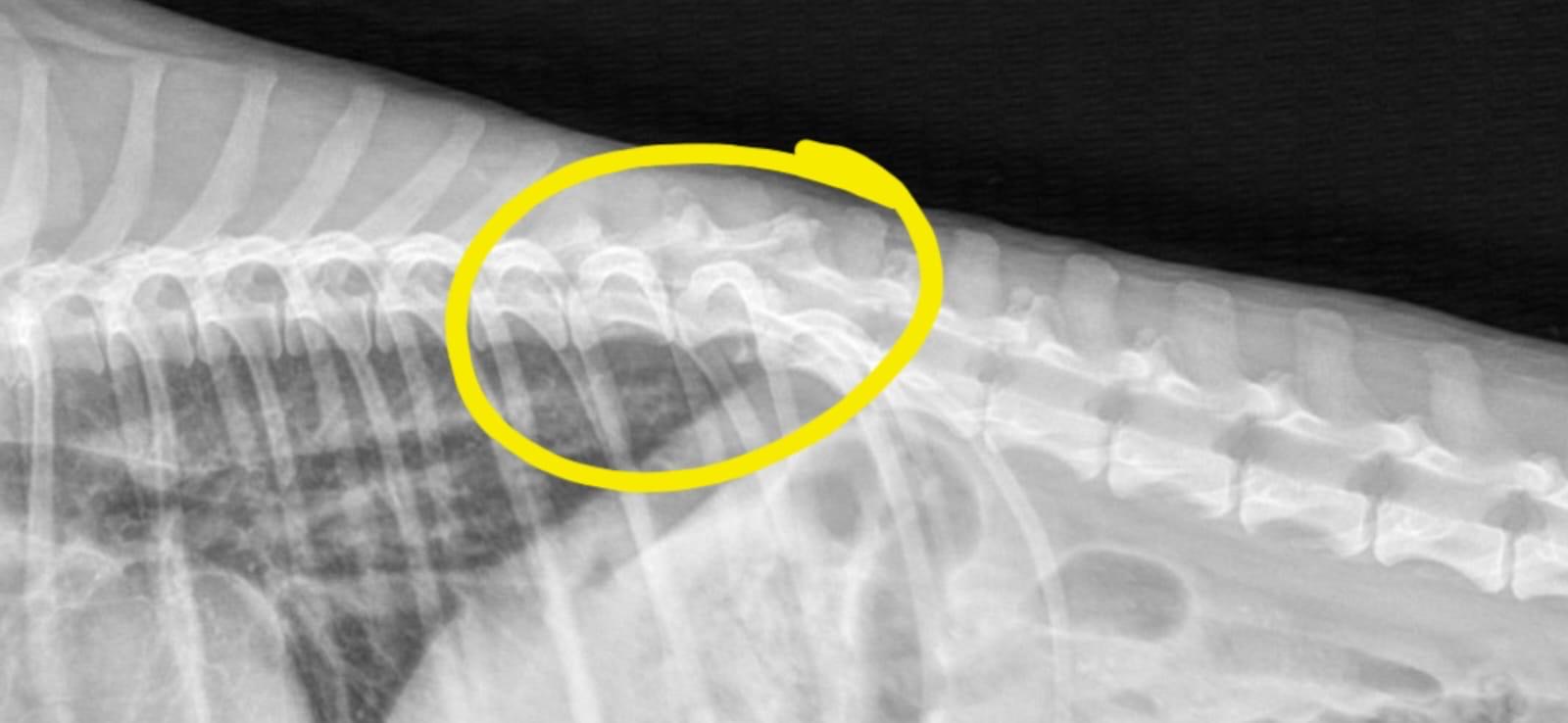
Die tierärztliche Diagnose im September 2025 brachte Klarheit: ein operabler Wirbelkörperbruch (siehe Video). Paloma wurde kostspielig operiert und kämpft sich seitdem tapfer zurück ins Leben. Zwar kann sie aktuell noch nicht ohne Hilfe laufen, doch durch Physiotherapie und der liebevollen Fürsorge ihres Pflegefrauchens macht sie täglich Fortschritte und geht immer besser spazieren (siehe Videos). Paloma kann bereits wieder selbstständig Kot und Urin absetzen, auch Stellreflexe sind vorhanden – vielversprechende Zeichen für ihre weitere Entwicklung, in Richtung Wiederherstellung. Es ist keine weitere Operation notwendig, laut Angaben des spanischen, tierärztlichen Spezialisten.
Palomas ursprünglicher Besitzer (ein Jäger) konnte zwar ausfindig gemacht werden, hat Paloma jedoch nicht mehr gewollt und an das Tierheim übergeben.
Paloma ist extrem freundlich, zutraulich, sanft und den Menschen zugewandt. Menschliche Zuwendung genießt sie und zeigt eine tiefe Dankbarkeit für jede liebevolle Geste. Paloma wünscht sich von Herzen bald ihre endgültige Familie! Ab März 2026 kann ihre aktuelle Pflegestelle ihr leider nicht mehr die Zeit schenken, die sie braucht – deshalb sucht sie nun dringend ein liebevolles, ruhiges Zuhause. Ein turbulenter Haushalt wäre nicht das richtige, da Paloma eingeschränkt ist und folglich weniger wehrhaft. Die weiße Fellnase mit den blauen Augen kann nicht rennen, springen, hocken oder Treppen steigen (bei Treppen müsste man sie tragen).
Paloma ist sehr menschenbezogen und baut eine enge Bindung zu ihrer Bezugsperson auf (siehe Video). Mit freundlichen, sozialen Artgenossen und auch mit Katzen versteht sie sich gut, sie kann aber ebenso als Einzelhündin leben.
Besondere medizinische Pflege benötigt sie nicht mehr. Beim Pipimachen braucht sie etwas Unterstützung, da sie noch nicht wieder in die Hocke gehen kann. An der Leine geht sie brav, noch etwas wackelig. Beim Anblick von Kaninchen vergisst sie kurz ihre guten Manieren, sie kann aber (noch) nicht wieder jagen und rennen. Zuhause ist sie ruhig, entspannt und schläft viel – am liebsten mit lautem Schnarchen.
Wer ihr ein sicheres, liebevolles und ruhiges Zuhause schenkt, bekommt eine treue Gefährtin mit ganz großem Herzen!
Update
16.02.2026 neue Bilder, neues Video
Bitte beachten Sie: Die Rückmeldungen Tierheime/Pflegestellen spiegeln das aktuelle Verhalten der hier zur Vermittlung stehenden Hunde wider. Auch wie sich der Hund im neuen Zuhause zeigen wird, können wir nicht vorhersehen. Somit bleibt er ein Stück weit "ein Überraschungsei", denn jeder Hund kann sich verändern und entwickeln. So braucht auch diese tolle Hund viel Geduld und Liebe von seinen Menschen, die nun sein endgültiges Zuhause sein sollen.
Zuhause gesucht
Für Paloma suchen wir ein liebevolles, geeignetes und verständnisvolles Zuhause. Unsere Hunde kommen in der Regel und soweit es die Gesundheit zulässt, kastriert, geimpft, gechipt, entwurmt, entfloht und mit einem EU-Pass versehen ins neue Zuhause. Die Hunde aus Alcala del Valle werden außerdem auf Dirofilariose (Herzwürmer), Leishmaniose, Ehrlichiose, Babesiose, Anaplasmose und Rickettsiose getestet (ab einem Alter von 1 Jahr, da vorher nicht aussagekräftig). Vermittlung gegen Schutzvertrag und Schutzgebühr. Wir freuen uns auf Ihren Kontakt. Bei Interesse füllen Sie bitte unser Online-Selbstauskunftsformular aus.
Kontakt
Sandra Schmid
+49 1774208563 (auch Whatsapp)
Bitte beachten Sie, dass wir diese Tätigkeit in unserer Freizeit durchführen. Wir sind alle berufstätig und haben Familie und eigene Tiere bzw. Pflegetiere. Haben Sie bitte Verständnis, wenn wir nicht immer sofort antworten können, wir melden uns baldmöglichst bei Ihnen zurück. Danke!
Paten gesucht
Für Paloma suchen wir auch liebe Paten, die uns mit einem kleinen monatlichen Beitrag helfen möchten, damit der Lebensunterhalt gesichert ist (Futter, Spielzeug, Tierarztkosten...). Eine Patenschaft ist ab 1 € im Monat möglich. Sie erhalten eine Patenurkunde und einmal im Jahr einen kleinen Bericht aus dem Tierheim. Wenn Sie eine Patenschaft übernehmen möchten, schreiben Sie uns einfach eine E-Mail an
Unsere Bankverbindung:
Tierisch geholfen
IBAN: DE16611500200102655432
BIC: ESSLDE66XXX
oder per Paypal (Bitte an Freunde oder Familie schicken, da sonst Gebühren entstehen)
Verwendungszweck: Patenschaft für Paloma
Vielen vielen Dank!
Bildergalerie
Durch Klicken werden externe Inhalte geladen und die Google-Datenschutzerklärung akzeptiert.Auf YouTube anschauen
Durch Klicken werden externe Inhalte geladen und die Google-Datenschutzerklärung akzeptiert.Auf YouTube anschauen
Durch Klicken werden externe Inhalte geladen und die Google-Datenschutzerklärung akzeptiert.Auf YouTube anschauen
Durch Klicken werden externe Inhalte geladen und die Google-Datenschutzerklärung akzeptiert.Auf YouTube anschauen
Durch Klicken werden externe Inhalte geladen und die Google-Datenschutzerklärung akzeptiert.Auf YouTube anschauen
Durch Klicken werden externe Inhalte geladen und die Google-Datenschutzerklärung akzeptiert.Auf YouTube anschauen
Durch Klicken werden externe Inhalte geladen und die Google-Datenschutzerklärung akzeptiert.Auf YouTube anschauen
Durch Klicken werden externe Inhalte geladen und die Google-Datenschutzerklärung akzeptiert.Auf YouTube anschauen
Durch Klicken werden externe Inhalte geladen und die Google-Datenschutzerklärung akzeptiert.Auf YouTube anschauen
Durch Klicken werden externe Inhalte geladen und die Google-Datenschutzerklärung akzeptiert.Auf YouTube anschauen
Durch Klicken werden externe Inhalte geladen und die Google-Datenschutzerklärung akzeptiert.Auf YouTube anschauen
Durch Klicken werden externe Inhalte geladen und die Google-Datenschutzerklärung akzeptiert.Auf YouTube anschauen
Durch Klicken werden externe Inhalte geladen und die Google-Datenschutzerklärung akzeptiert.Auf YouTube anschauen
Durch Klicken werden externe Inhalte geladen und die Google-Datenschutzerklärung akzeptiert.Auf YouTube anschauen
Klicken Sie eines der Bilder an, um eine Diaschau zu starten.

